Röntgen
Was wir häufig vorfinden
Röntgen 1:
ap: AR+/-. anterior, C2 re rotiert, diskrete Linkskonvexität der HWS
lat.: diskrete Clivusverkürzung, dorsale Atlashypoplasie, ventral etwas hyperplastisch, Dens recurvatus mit daraus resultierender Steilstellung der HWS Lordose
ALF?


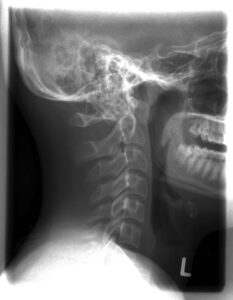
Röntgen 2:
ap: Al +/-, bds anterior,
seitl: Clivusverkürzung (Platybasie) und Dens recurvatus, Atlas grenzwertig superior, hintere Atlasbogenhyperplasie, vordere Atlasbogenhypoplasie
ALF?, Foramen arcuale


Röntgen 3:
ap: AR, Ossiculum terminale
seitl.: Atlaskippung, geringe Rotation c2/3, nach caudal abnehmend


Röntgen 4:
ap: Atlas +/-, C2 re rotiert

Röntgen 5:
ap: AR, C2 etwas re rotiert,
lat: Atlas in Neutralstellung, Ponticulus post.


Röntgen 6:
ap; AR, dorsale Bögen in diesem Alter physiologisch nicht geschlossen
